24時間予約受付中
初めての方はこちら
予約変更・お久しぶりの方はこちら
LINEお問合せ
ホーム
Home
クリニック紹介
Clinic
院長・スタッフ紹介
Staff
診療内容
Medical
歯がボロボロな方
噛み合わせ治療
多数歯欠損の方
一般歯科
根管治療
歯周病治療
予防・メンテナンス
小児歯科
小児矯正
成人矯正
セラミック・審美治療
ホワイトニング
インプラント
口腔外科
入れ歯
ワンデイデンチャー
診療時間・アクセス
Access
採用情報
Recruit
症例集
Case
医療コラム
Column
医療コラム
COLUMN
ホーム
Home
クリニック紹介
Clinic
院長・スタッフ紹介
Staff
診療内容
Medical
歯がボロボロな方
噛み合わせ治療
多数歯欠損の方
一般歯科
根管治療
歯周病治療
予防・メンテナンス
小児歯科
小児矯正
成人矯正
セラミック・審美治療
ホワイトニング
インプラント
口腔外科
入れ歯
ワンデイデンチャー
診療時間・アクセス
Access
採用情報
Recruit
症例集
Case
医療コラム
Column
ホーム
Home
クリニック紹介
Clinic
院長・スタッフ紹介
Staff
診療内容
Medical
歯がボロボロな方
噛み合わせ治療
多数歯欠損の方
一般歯科
根管治療
歯周病治療
予防・メンテナンス
小児歯科
小児矯正
成人矯正
セラミック・審美治療
ホワイトニング
インプラント
口腔外科
入れ歯
ワンデイデンチャー
診療時間・アクセス
Access
採用情報
Recruit
症例集
Case
医療コラム
Column
WEB予約
LINE登録
子どものすきっ歯はいつまで様子見?矯正のタイミングや方法を徹底解説
2026年4月20日
お子さんの歯が生え揃ってくると、親御さんが真っ先に気になることの一つが「歯並び」です。 特に、歯と歯の間に隙間がある「すきっ歯」…
[read more]
子どもの出っ歯は矯正すべき?放置のリスクや年代別の矯正方法解説
2026年4月20日
お子さんの成長過程で「うちの子、少し出っ歯かもしれない」と不安に感じる親御さんは少なくありません。出っ歯は見た目の印象だけでなく、将来…
[read more]
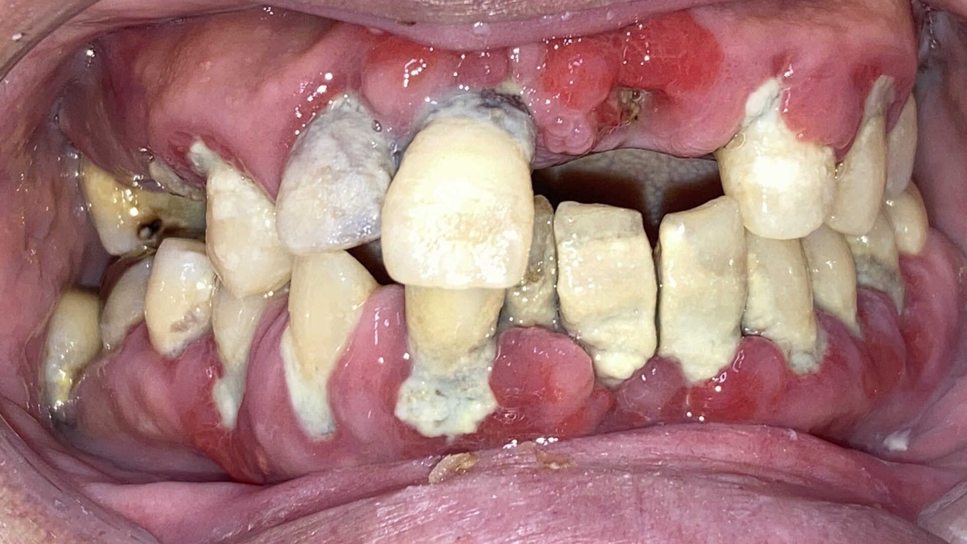
若いのに歯がボロボロになる原因4つ。歯がボロボロを治療する方法も解説します
2026年4月20日
「まだ20代・30代なのに、鏡を見ると歯がボロボロ……」と、一人で抱え込んでいませんか?実は、若い世代で歯のトラブルに悩む方は少なくあ…
[read more]
60代で歯がボロボロな人は多い?原因と治療方法を歯科医師が徹底解説
2026年4月20日
「60代になって急に歯がグラグラしてきた」「鏡を見るとボロボロで、人前で笑うのが恥ずかしい」と悩んでいませんか? 実は、60代は…
[read more]
カレンダー
2026年4月
月
火
水
木
金
土
日
1
2
3
4
5
6
7
8
9
10
11
12
13
14
15
16
17
18
19
20
21
22
23
24
25
26
27
28
29
30
« 3月
最新記事
子どものすきっ歯はいつまで様子見?矯正のタイミングや方法を徹底解説
子どもの出っ歯は矯正すべき?放置のリスクや年代別の矯正方法解説
若いのに歯がボロボロになる原因4つ。歯がボロボロを治療する方法も解説します
60代で歯がボロボロな人は多い?原因と治療方法を歯科医師が徹底解説
中学生で歯列矯正をするメリット5つ。おすすめの矯正方法や注意点も
歯列矯正は小学生から始めるべき?歯列矯正が必要な歯並びや治療方法を解説
女性は歯がボロボロになりやすい?理由や予防法、治療方法を徹底解説
「歯がボロボロ」と糖尿病は関係ある?つながりや治療方法を歯科医師が解説
プレオルソの失敗原因5つ。失敗を防ぐ予防策や歯科医院の選び方まで徹底解説
50代で歯がボロボロな場合の治療方法3つ。割合や原因、治療しないリスクも
カテゴリ
歯がボロボロ
矯正
解説集