24時間予約受付中
初めての方はこちら
予約変更・お久しぶりの方はこちら
LINEお問合せ
ホーム
Home
クリニック紹介
Clinic
院長・スタッフ紹介
Staff
診療内容
Medical
歯がボロボロな方
噛み合わせ治療
多数歯欠損の方
一般歯科
根管治療
歯周病治療
予防・メンテナンス
小児歯科
小児矯正
成人矯正
セラミック・審美治療
ホワイトニング
インプラント
口腔外科
入れ歯
ワンデイデンチャー
診療時間・アクセス
Access
採用情報
Recruit
症例集
Case
医療コラム
Column
医療コラム
COLUMN
ホーム
Home
クリニック紹介
Clinic
院長・スタッフ紹介
Staff
診療内容
Medical
歯がボロボロな方
噛み合わせ治療
多数歯欠損の方
一般歯科
根管治療
歯周病治療
予防・メンテナンス
小児歯科
小児矯正
成人矯正
セラミック・審美治療
ホワイトニング
インプラント
口腔外科
入れ歯
ワンデイデンチャー
診療時間・アクセス
Access
採用情報
Recruit
症例集
Case
医療コラム
Column
ホーム
Home
クリニック紹介
Clinic
院長・スタッフ紹介
Staff
診療内容
Medical
歯がボロボロな方
噛み合わせ治療
多数歯欠損の方
一般歯科
根管治療
歯周病治療
予防・メンテナンス
小児歯科
小児矯正
成人矯正
セラミック・審美治療
ホワイトニング
インプラント
口腔外科
入れ歯
ワンデイデンチャー
診療時間・アクセス
Access
採用情報
Recruit
症例集
Case
医療コラム
Column
WEB予約
LINE登録
中学生で歯列矯正をするメリット5つ。おすすめの矯正方法や注意点も
2026年3月26日
中学生は、乳歯から永久歯へと生え変わりが完了し、顎の成長も最終段階に入る「一生の歯並びが決まる」大切な時期です。 この時期に矯正…
[read more]
歯列矯正は小学生から始めるべき?歯列矯正が必要な歯並びや治療方法を解説
2026年3月26日
「うちの子の歯並び、もしかしてガタガタ?」「いつから矯正を始めたらいいの?」と、小学生のお子さんを持つ親御さんなら一度は悩みますよね。…
[read more]
女性は歯がボロボロになりやすい?理由や予防法、治療方法を徹底解説
2026年3月26日
「鏡を見るのがつらい」「笑うときに口元を隠してしまう」——。そんな深いお悩みを抱えている女性は、実は少なくありません。 「歯が…
[read more]
「歯がボロボロ」と糖尿病は関係ある?つながりや治療方法を歯科医師が解説
2026年3月26日
「歯がボロボロになってしまったけれど、これって糖尿病のせいなのかな?」「これからどうやって治していけばいいんだろう…」そんな不安を抱え…
[read more]
カレンダー
2026年3月
月
火
水
木
金
土
日
1
2
3
4
5
6
7
8
9
10
11
12
13
14
15
16
17
18
19
20
21
22
23
24
25
26
27
28
29
30
31
« 2月
4月 »
最新記事
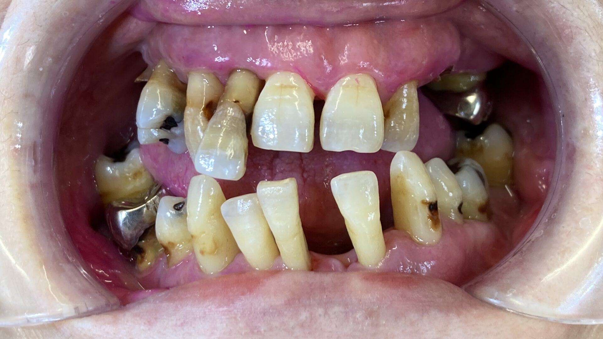
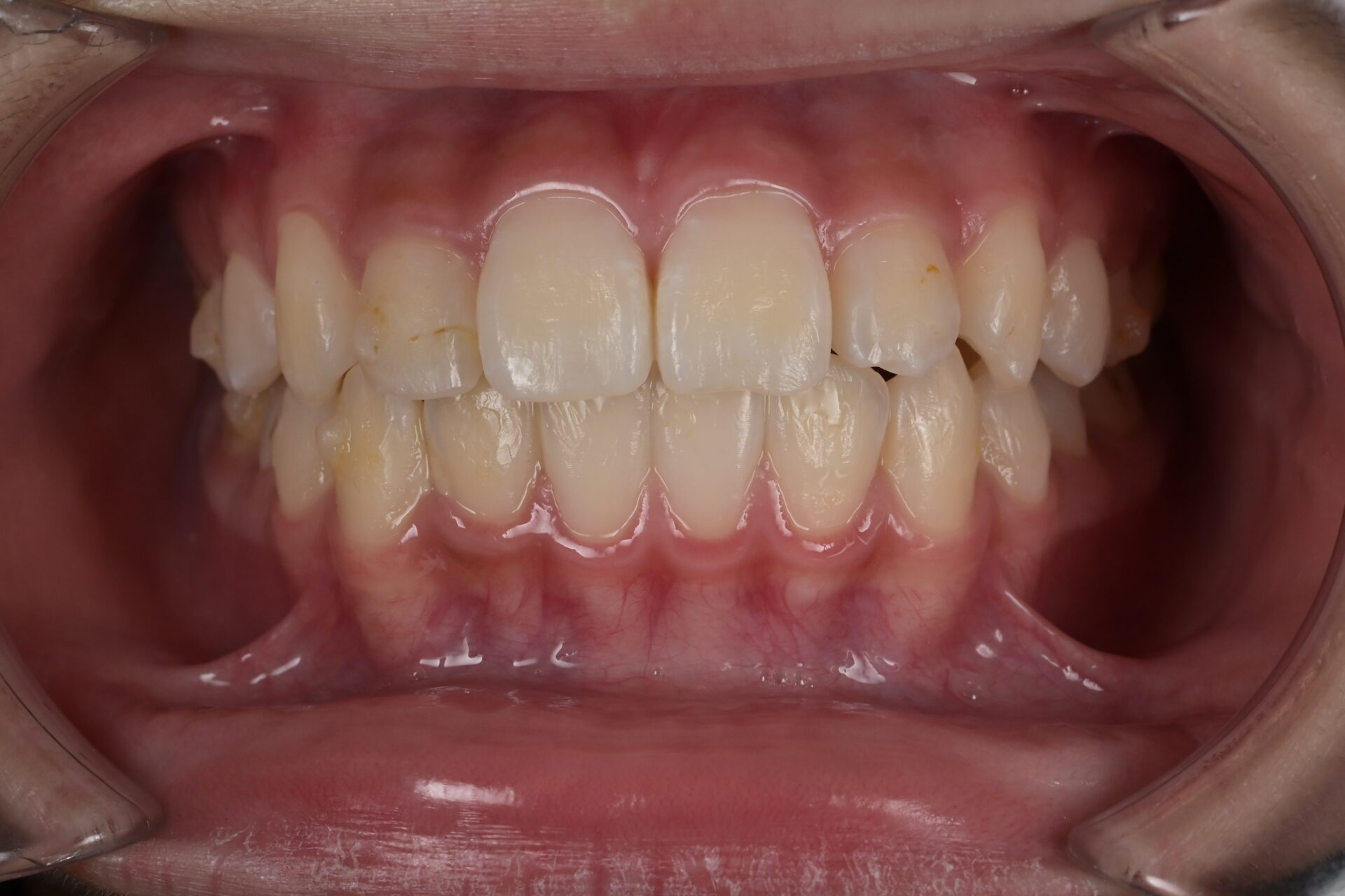
歯がボロボロになる原因6つ。ボロボロな歯の治療方法や放置するリスクも解説
歯がボロボロでも保険で治療できる?保険治療と自由診療の違いや支払い方法も解説
乳歯の矯正は意味ある?乳歯矯正が必要な歯並びや矯正方法を解説
小児矯正を第一期でやめるとどうなる?第一期でやめるケースやデメリットを解説
子どものすきっ歯はいつまで様子見?矯正のタイミングや方法を徹底解説
子どもの出っ歯は矯正すべき?放置のリスクや年代別の矯正方法解説
若いのに歯がボロボロになる原因4つ。歯がボロボロを治療する方法も解説します
60代で歯がボロボロな人は多い?原因と治療方法を歯科医師が徹底解説
中学生で歯列矯正をするメリット5つ。おすすめの矯正方法や注意点も
歯列矯正は小学生から始めるべき?歯列矯正が必要な歯並びや治療方法を解説
カテゴリ
歯がボロボロ
矯正
解説集